こんにちは。横浜元町通り矯正歯科です☆
矯正用語についてシリーズでお話していこうと思います。
私たち横浜元町通り矯正歯科では、できるだけ患者様がわかりやすい用語を使うよう心がけておりますが、矯正治療では様々な専門用語がでてくるときがあります。インターネット等で調べている際に、よくわからない矯正用語が出てくると思います。
矯正を始めたい方、以前やっていた方、すでに始めている方にとって、少しでも矯正の専門用語について知る機会になれば幸いです。
****************************************************
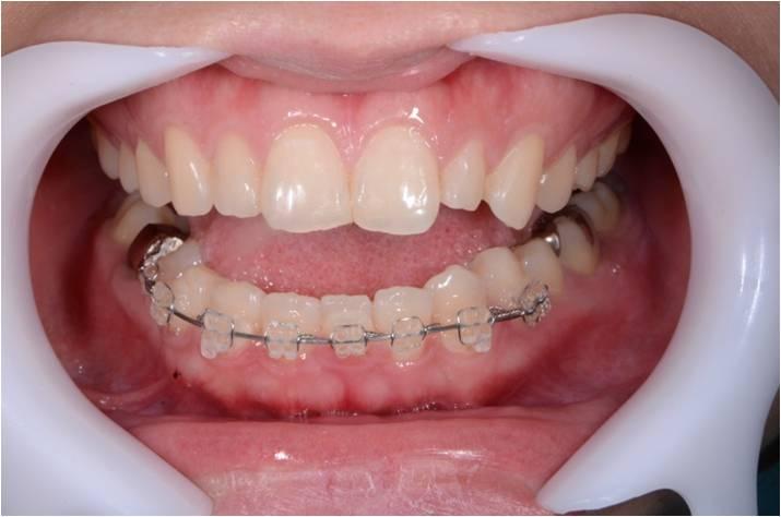
「ブラケット矯正」 について ~『ワイヤーを用いた従来の矯正方法』~
ブラケット矯正とは
一般的に矯正でイメージされるワイヤーを用いた矯正方法の一つで、
わかりやすくワイヤー矯正とも呼ばれています。
歯の表面に金属(セラミックや樹脂のタイプもあり)の装置を樹脂等で接着し、
そこにワイヤーを通して少しずつ歯を動かしていく方法です。
見た目が目立ちやすい、歯磨きがしづらい、痛みが出やすい等のデメリットもありますが、
マウスピース矯正のみでは対応の難しい症例に対してもほとんど適応となっております。
また、マウスピース矯正のように取り外しや使用時間等、
ご自身でしっかり管理することが難しい方の場合も
ブラケット矯正のほうがあっている場合もあります。
どちらがより優れているかではなく、
適応や自分により合っていると思われる方法を選択することが矯正の成功への道となります。
当院ではマウスピース矯正と併用して一部分にワイヤーを使用することもあります。
(別途費用は掛かりません)
ご自身がどちらの矯正に合っているか、
適応かどうかなどの質問も承っておりますので、
お気軽にご相談くださいね^^

