こんにちは。横浜元町通り矯正歯科です☆
矯正用語についてシリーズでお話していこうと思います。
私たち横浜元町通り矯正歯科では、できるだけ患者様がわかりやすい用語を使うよう心がけておりますが、矯正治療では様々な専門用語がでてくるときがあります。インターネット等で調べている際に、よくわからない矯正用語が出てくると思います。
矯正を始めたい方、以前やっていた方、すでに始めている方にとって、少しでも矯正の専門用語について知る機会になれば幸いです。
****************************************************
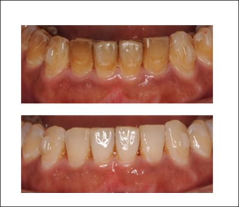
「ステイン」 について
ステインとは、歯の着色汚れのことを言います。
歯は毎日使うものなので、きちんと歯みがきをしていても
少しずつステインは歯に付着して日々蓄積し、黄ばんだりくすんだりしていきます。
特にポリフェノールが豊富に含まれる食品を習慣的に摂取している人は
ステインが付着しやすくなっています。
コーヒーや紅茶、赤ワインやカレー、チョコレートなどが挙げられます。
また、煙草もステインの原因になります。
ステインは歯ブラシでなかなか落ちにくく、自宅でのケアを試みる場合は
ホワイトニング用の歯磨き粉を使うと個人差はありますが取れやすくなります。
しかしそういった歯磨き粉には研磨剤がたくさん含まれており、
歯の表面のエナメル質を傷つけてしまう恐れがある為注意が必要です。
当院ではルシェロホワイトという、ステイン中のタンパクを分解し落としやすくして
Lime粒子でやさしく除去する歯に優しい研磨剤使用の歯磨き粉をおすすめしております^^
また、歯科医院で専用の機材と薬剤を使用してステインを除去することも可能です。
それでも落とすことのできない着色汚れは、ホワイトニングによって改善できることがあります。
マウスピース矯正期間中は紅茶やコーヒーなどをそのままのむと平常時より
ステインがつきやすくなります。
心配な方はその後お水でゆすぐか、飲み物は水をメインにすると予防が可能ですよ^^
