こんにちは。横浜元町通り矯正歯科です☆
矯正用語についてシリーズでお話していこうと思います。
私たち横浜元町通り矯正歯科では、できるだけ患者様がわかりやすい用語を使うよう心がけておりますが、矯正治療では様々な専門用語がでてくるときがあります。インターネット等で調べている際に、よくわからない矯正用語が出てくると思います。
矯正を始めたい方、以前やっていた方、すでに始めている方にとって、少しでも矯正の専門用語について知る機会になれば幸いです。
****************************************************
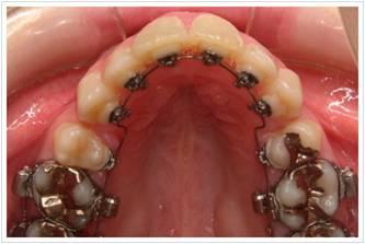
「リンガル矯正」 について ~『歯の裏側矯正』~
「リンガル矯正」とは、皆様のよくイメージされる表側に貼るワイヤー矯正を裏側で行うもので、
舌側矯正とも呼ばれます。
歯の裏側(舌側)にブラケット装置を接着するため、
外側から見ても矯正装置がほとんど見えにくいというメリットがあります。
その他舌で歯を押し当てる癖を抑制する効果が多少期待でき、後戻り防止につながることや、
装置が固定源となる歯を後方へ引き込んでいくことを得意としているので、
表側矯正よりも比較的前歯の移動をスムーズに行うことが可能です。
ただし歯ブラシが非常に難しくなることや舌を傷つけやすいこと、
歯の表側に比べ接着面積が狭く調整に時間がかかり、その分料金が高いことが多いです。
期間も長くかかることが多いため、見た目が目立つのが嫌という理由だけであれば、
マウスピース矯正も透明で目立たないのでおすすめですよ^^
お気軽にご相談ください♪

